Case File

Case 8

Surgical Management of Gummy Smile

Case 7

Surgical Management of Gum Disease - Flap Surgery

Case 6

Laser assisted Gingival Depigmentation

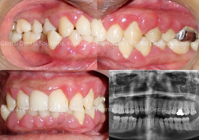
Case 5

Surgical Management of Gum Disease - Flap Surgery

Case 4

Laser assisted Gingivectomy

Case 3

Non Surgical management of Gum Disease - Ultrasonic Scaling

Case 2

Surgical Management of Gum Disease - Flap Surgery

Case 1

Metal Free Ceramic Crown

Copyright 2021-2025. Global Dental Solutions - All Rights Reserved | A Dentaura Design